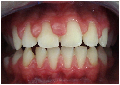
Si te sale sangre al cepillarte, no lo normalices: suele indicar inflamación de la encía y, en muchos casos, es la señal más temprana de gingivitis. La buena noticia es que, con un plan claro, puedes frenar el problema a tiempo y evitar que evolucione a periodontitis. Aquí tienes una guía práctica para entender por qué ocurre, qué puedes hacer en casa y cuándo conviene pedir una revisión profesional.
Por qué sangran las encías al cepillarte
El motivo más frecuente es la acumulación de placa en el margen de la encía. Esa película bacteriana irrita el tejido, provoca inflamación y hace que sangre con estímulos leves (cepillado, hilo, incluso al masticar). Si la placa no se elimina bien, puede endurecerse y convertirse en sarro, que favorece un sangrado más persistente y puede acelerar la progresión hacia una enfermedad periodontal.
Además de la higiene, hay situaciones que aumentan la probabilidad de sangrado: cepillado agresivo, cambios hormonales, prótesis o aparatos mal ajustados, ortodoncia, déficit vitamínico (sobre todo vitamina C o K) y algunos medicamentos (por ejemplo, anticoagulantes). En casos menos frecuentes, también puede relacionarse con trastornos de coagulación u otras condiciones médicas que requieren valoración.
Gingivitis vs periodontitis: cómo distinguirlas en casa
Sin exploración clínica no se puede diagnosticar con certeza, pero sí puedes orientarte por señales típicas. La clave es entender que la gingivitis es reversible si se trata a tiempo, mientras que la periodontitis implica afectación más profunda del soporte del diente y requiere tratamiento profesional.
| Señal | Más típico de gingivitis | Más típico de periodontitis |
|---|---|---|
| Sangrado al cepillarte o con hilo | Frecuente | Frecuente, a veces espontáneo |
| Encía roja e hinchada | Muy común | Puede estar presente |
| Mal aliento o mal sabor | Puede aparecer | Más habitual y persistente |
| Encía que “se baja” (recesión) | No es lo más típico | Más probable |
| Movilidad dental | No | Puede aparecer |
Si notas recesión, separación entre dientes, sensibilidad nueva o movilidad, no lo dejes pasar: cuanto antes se evalúe, mejor pronóstico suele tener.
Qué hacer hoy si te sangran las encías (plan de 7 días)
El objetivo no es “cepillar menos” para que sangre menos, sino reducir la inflamación eliminando placa con técnica suave. Este plan está pensado para casos leves o moderados, sin dolor intenso ni sangrado abundante.
Día 1–2: cambia la técnica (sin apretar)
Un error típico es aumentar la fuerza “para limpiar mejor”. Eso puede empeorar el sangrado por microtrauma. Prioriza suavidad y constancia.
- Usa un cepillo de cerdas suaves y pásalo con movimientos cortos, orientando ligeramente hacia la línea de la encía.
- Dedica 2 minutos reales y recorre todas las caras: externa, interna y masticatoria.
- Si usas eléctrico, no presiones: deja que el cabezal trabaje y ve diente a diente.
Es normal que los primeros días siga sangrando: la encía inflamada sangra con facilidad, y suele mejorar a medida que baja la carga bacteriana.
Día 3–4: limpia entre dientes (sin hacer “sierra”)
La placa se acumula especialmente entre dientes y en el borde gingival. Si solo cepillas, puedes quedarte corto. Aquí la clave es la técnica: el hilo no debe cortar la encía.
- Pasa el hilo suavemente y abraza el diente en forma de “C”.
- Si hay espacios amplios o aparatología, valora cepillos interdentales del tamaño adecuado.
Si al empezar sangra más, no significa que “estés haciendo daño” necesariamente: a menudo indica inflamación previa en esa zona.
Día 5–7: refuerza con hábitos que bajan la inflamación

Hay medidas complementarias que ayudan, pero no sustituyen la higiene. Piensa en ellas como un “plus” para calmar tejido y reducir factores de riesgo.
- Evita tabaco: enmascara síntomas y empeora la salud periodontal.
- Cuida la dieta: prioriza alimentos ricos en vitamina C (cítricos, fresas, pimientos) y, si procede, vitamina K (verduras de hoja verde).
- Si tu clínica te lo recomienda, un colutorio específico para encías puede ser útil por periodos cortos.
En Grup Dentar solemos explicar a los pacientes que la encía responde rápido cuando se hace bien lo básico: técnica suave, limpieza interdental y revisión si hay sarro retenido.
Causas frecuentes (y qué hacer en cada una)
Para resolver el sangrado de forma estable necesitas identificar la causa más probable. Este mapa rápido te ayuda a priorizar acciones.
| Causa probable | Pistas típicas | Qué hacer | Cuándo pedir visita |
|---|---|---|---|
| Placa/gingivitis | Sangrado al cepillar, encía roja | Mejorar técnica + interdental | Si no mejora en 7–10 días |
| Sarro y bolsas iniciales | Sangrado persistente, mal aliento | Limpieza profesional y control | Cuanto antes |
| Cepillado agresivo | Sangrado puntual, encía “raspada” | Cerdas suaves + menos presión | Si hay recesión o dolor |
| Ortodoncia o prótesis | Inflamación localizada, difícil acceso | Higiene adaptada + revisión de ajuste | Si hay rozaduras o sangrado recurrente |
| Medicaciones/anticoagulantes | Sangrado fácil en varios puntos | No suspender nada sin indicación | Si el sangrado es abundante |
| Déficit vitamínico | Dieta pobre, encía frágil | Revisar dieta; valorar analítica si procede | Si se asocia a otros sangrados |
Con nuestros pacientes en Barcelona, Sant Boi y Esplugues de Llobregat, vemos a menudo que el “sangrado de encías” tiene dos causas mezcladas: placa acumulada y una técnica demasiado fuerte. Ajustar ambas suele dar resultados visibles en pocos días.
Errores comunes que empeoran el sangrado (sin darte cuenta)
Hay hábitos bienintencionados que pueden cronificar el problema. Si te reconoces en alguno, corrígelo ya: es un cambio pequeño con impacto grande.
- Dejar de usar hilo “porque sangra”: suele sangrar precisamente porque hay inflamación.
- Rascar la encía con palillos o cepillos duros.
- Enjuagues al azar: algunos resecan o irritan si se usan sin criterio.
- Posponer la limpieza profesional cuando ya hay sarro: en casa no se elimina.
En Grup Dentar insistimos mucho en esto: lo que cura no es la fuerza, sino la regularidad y una higiene bien dirigida al margen gingival.
Cuándo es importante pedir una revisión cuanto antes
Hay señales en las que conviene no esperar. Pide cita si aparece cualquiera de estas situaciones:
- Sangrado abundante o que no cede con higiene correcta.
- Dolor intenso, inflamación marcada o supuración.
- Movilidad o separación progresiva entre dientes.
- Encía que se retrae de forma evidente en poco tiempo.
- Sangrados en otras zonas o sospecha de problema de coagulación.
Cuando el sangrado es habitual, lo más eficaz suele ser un estudio periodontal y, si procede, un tratamiento profesional de higiene avanzada. Si quieres profundizar en opciones clínicas, puedes ver cómo abordamos la periodoncia y el cuidado de encías en nuestras clínicas.
Prevención a largo plazo: cómo evitar que vuelva

Una vez controlado el episodio, la prevención se basa en rutinas simples, pero sostenidas. La mayoría de recaídas ocurren cuando se “relaja” la higiene interdental o se espacian demasiado las revisiones.
- 2 cepillados diarios con técnica suave y completa.
- Limpieza interdental diaria (hilo o interdentales, según tu caso).
- Revisiones periódicas y limpiezas según indicación clínica.
- Control de factores como tabaco, estrés y bruxismo si están presentes.
Como grupo familiar con más de 25 años de experiencia, en Grup Dentar trabajamos con una idea muy clara: detectar a tiempo es más sencillo y más conservador. Si estás en la provincia de Barcelona y buscas un enfoque integral (desde higienes y periodoncia hasta tratamientos más complejos), puedes ver nuestros tratamientos bucodentales en Barcelona y elegir la clínica más cercana.
Si te sangran las encías al cepillarte, empieza por ajustar técnica y limpieza entre dientes durante una semana, pero no lo alargues meses esperando que “se pase solo”. La encía sana no debería sangrar: cuando lo hace, está pidiendo atención. Con un diagnóstico a tiempo y un plan de higiene bien guiado, lo habitual es recuperar estabilidad y evitar complicaciones.