blog grup dentar
Últimos posts
Te invitamos a explorar nuestro blog, donde encontrarás una amplia variedad de artículos relacionados con la odontología y consejos para el cuidado dental

Sonrisas Radiantes: Cuidado Dental Durante el Embarazo
La llegada de un bebé es uno de los momentos más emocionantes en la vida de una mujer. Mientras experimentas los cambios que el embarazo trae consigo, es de vital importancia no descuidar tu salud dental. En este post, exploraremos de manera detallada cómo cuidar de tus dientes durante el

Salud Periodontal: Entendiendo la Periodoncia
¡Echa un vistazo a nuestros perfiles de Instagram! @clinica.anadonsantjoan @clinicadentalrosinach @anadonclinicadental ¿Qué es la Periodoncia? La periodoncia es una rama de la odontología que se ocupa de prevenir, diagnosticar y tratar enfermedades de las encías y otras estructuras que rodean y soportan tus dientes. Las encías saludables son fundamentales para

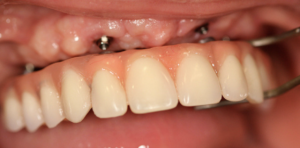
Implantes dentales. ¿Qué son y cuánto tiempo puede durar el proceso?
La pérdida de dientes puede ser un desafío tanto funcional como estético para muchas personas. Aquí es donde los implantes dentales juegan un papel crucial. Los implantes son pequeñas estructuras de titanio que se insertan en el hueso maxilar o mandibular para reemplazar las raíces de los dientes perdidos. Sobre

Mitos, verdades y prevención. Todo sobre las cáries
En este artículo, vamos a hablar sobre un tema muy común pero a menudo malentendido: las caries dentales. Todos hemos escuchado sobre las caries y cómo pueden afectar nuestra salud bucal, pero en este post, vamos a desmitificar algunos conceptos erróneos y compartir información clave para comprender mejor este problema

¿En qué consiste una corona dental?
Una corona dental es una funda que mayormente se coloca sobre un diente en mal estado. También, se puede usar este recurso, para mejorar el aspecto de uno. Tanto la forma o la alineación de una pieza dental. Normalmente su fabricación se viene dando en porcelana o cerámica. También conocemos

¿En qué consiste un puente dental?
Un puente dental es un tipo de prótesis en la que se apoya lo dientes sanos que aún el paciente conserva en su boca. Debes saber que los puentes dentales sustituyen a los diente adyacentes ya perdidos. Estos se encontraban juntos en la boca del paciente. La mejor solución para

¿Qué es una prótesis fija?
Hace justo una semana averiguamos cuál era el origen de las prótesis fijas. Nos sorprendimos al ver que ya a.C. se usaban de similares a lo que entendemos hoy día. Las prótesis son un procedimiento por el cual se repara artificialmente lo que seria la falta de un órgano o

¿Cuál es el origen de las prótesis fijas?
El verdadero origen y uso de las prótesis fijas no es reciente. Ya, desde las primeras civilizaciones, se observaron que se utilizaron prótesis fijas. En el siglo IV a.C., el pueblo, usaba las piezas dentales de los animales muertos colocándolas de manera estratégica en los huecos de los dientes con

Curetajes, ¿qué son y por qué se hacen?
Los curetajes dentales es un tratamiento dedicado a eliminar el sarro y la placa bacteriana. Se acumula debajo de la línea de la encía y, de esta manera, producen una enfermedad periodontal. La enfermedad periodontal es uno de los problemas bucales más comunes que existen actualmente. Perjudica la salud bucal

Profilaxis dental, ¿qué es y para qué sirve?
La técnica de la profilaxis dental tiene una duración de 45 minutos aproximadamente y es imprescindible para tu salud bucodental. Como bien sabes, aunque te hagas una óptima higiene dental, hay zonas a las que no se llega con exactitud y, por lo tanto, no se acaban de limpiar bien.

La figura del higienista dental
Cuando hablamos de salud bucodental es fácil imaginar las figuras del odontólogo o el dentista. No deberíamos olvidar la figura del higienista dental ya que tiene un peso importante en odontología. Vayamos pues a conocer cual es la aportación básica en la que participa delante de cualquier tratamiento o intervención.

La figura del auxiliar de odontología
Actualmente el puesto de auxiliar de odontología está creciendo a pesar de ser desconocido para muchos. Nadie se imagina una clínica dental sin su personal asistente. Los odontólogos para prestar un buen servicio deben tener un personal profesional. Los auxiliares en odontología son claves para el correcto desempeño de las